Заболевания горла
Заболевания горла охватывают широкий спектр проблем, таких как частые инфекции, хронические воспаления и структурные нарушения. Такие состояния, как фарингит, тонзиллит и рефлюкс, могут вызывать боль в горле, трудности при глотании и чувство дискомфорта. В нашей клинике мы предлагаем персонализированные решения для диагностики и лечения заболеваний горла с использованием современных медицинских методов.
Сделайте первый шаг прямо сейчас
Для получения подробной информации свяжитесь с нами.
Запланируйте встречу с профессором Мустафой Дениз Йылмазом прямо сейчас. Сделайте первый шаг в процессе лечения и давайте вместе начнем путь к восстановлению вашего здоровья с помощью индивидуальных решений.
Фарингит
Фарингит — это воспаление области глотки, расположенной в задней части горла. Обычно он возникает из-за вирусных инфекций (простуда, грипп), но может быть вызван и бактериальными инфекциями (например, стрептококковая ангина).

Тонзиллит
Тонзиллит — это воспаление миндалин, вызванное вирусными или бактериальными инфекциями. Симптомы тонзиллита включают боль в горле, затруднение при глотании, лихорадку и увеличение миндалин.

Ларингит
Ларингит — это воспаление голосовых связок. Обычно вызывает охриплость, сухость и дискомфорт в горле. Ларингит может развиться из-за чрезмерного использования голоса, вирусных инфекций или воздействия раздражающих веществ.

Стрептококковая инфекция горла
Эта инфекция, вызванная стрептококковыми бактериями, вызывает сильную боль в горле, трудности при глотании и лихорадку. Без лечения могут возникнуть серьезные осложнения.
Рефлюксная болезнь (гастроэзофагеальный рефлюкс)
Это состояние возникает, когда желудочная кислота попадает обратно в пищевод, вызывая жжение, раздражение и хронический кашель в горле. Оно также может приводить к постоянному чувству дискомфорта в горле.

Рак горла
Злокачественные опухоли в области горла могут привести к раку горла. Ранние симптомы включают постоянную боль в горле, трудности при глотании, охриплость и потерю веса.

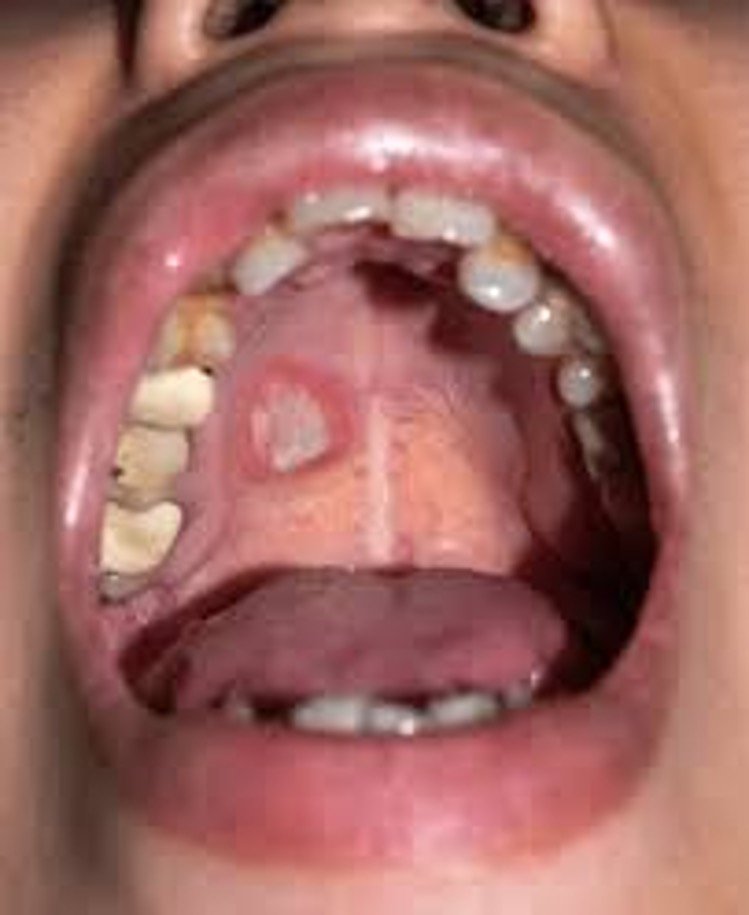
Афты и язвы во рту
Это небольшие, болезненные язвы, которые появляются в задней части горла или в полости рта. Афты часто возникают из-за стресса, дефицита питания или проблем с иммунной системой.

Сухость в горле
Сухой воздух, аллергии, обезвоживание или некоторые лекарства могут вызывать сухость в горле, что приводит к дискомфорту и раздражению.
Заболевания горла часто проявляются схожими симптомами, поэтому важно обратиться к врачу для точной диагностики и лечения. Ранняя диагностика и соответствующее лечение могут помочь предотвратить осложнения этих заболеваний.
My paths crossed with Dr. Deniz because of my vocal cord polyp. My indecision before my doctor cost me 8 months. It didn't take us 8 minutes to get examined and decide on surgery. I pray for you for restoring my hoarse voice. I'm so glad Mustafa Deniz Yılmaz🙏
My nephew Ugur Karaer was suffering from empty nose syndrome. We went to every doctor in Istanbul. Finally, God brought us to Dr. Deniz. He performed the surgery successfully and saved my nephew's life. May God bless him.
I don't know how many surgeries I've had myself. But when it comes to children, everything calms down. 🙁 After seeing three doctors for my 2.5-year-old daughter's adenoid and tonsillectomy, we thankfully found Prof. Dr. Mustafa Deniz Yılmaz. His knowledge and patient approach made us believe he was by far the best doctor in this field. His assistant, secretary, the specialist who performed the hearing test... the entire team was extremely professional. Success is a team effort. That's why the whole process went smoothly, and we left satisfied. 💕 May God bless him 🙏🏻
We came from Almaty on vacation, and my son started having ear pain from the very first day. They recommended drops and medications, but nothing helped. We stumbled across a doctor online and decided to take a chance. She turned out to be wonderful, and after the first dose of medication, my son felt better. Within a week, there was no trace of the infection. Special thanks to the translator for her care, understanding, and professionalism.
I was suffering from empty nose syndrome. For those who don't know, I should say that almost all of my nasal tissue was removed. It is a very bad disease. I went to 100 ENT doctors in Istanbul and they couldn't find a solution. Finally, I found Deniz Hoca, who is an expert in this field, and he took cartilage from my rib and performed the surgery and I got better. Thank you very much for everything.
I had a tonsillectomy performed by our doctor, Mustafa Deniz Yılmaz. The surgery went smoothly, and although it's said to be more difficult for adults, I recovered very quickly. I'm so glad I chose Mustafa.
Hello, they told me that my parotid gland needed to be removed. I went to so many doctors that I finally decided on Dr. Mustafa. I am glad I chose Dr. Mustafa. You do not need to look for a doctor, you can choose my doctor with peace of mind without any worries.
I had a nose surgery 9 months ago by Mustafa Deniz Hoca. Both he and his team are always in touch with you before and after the surgery and provide detailed answers to questions. I am very pleased with my nose in terms of aesthetic appearance and health. Thank you and your entire team for everything.
First of all, I would like to thank my instructor Mustafa Deniz Yılmaz for his efforts. I had a nose surgery about 4 months ago. Like everyone else, I had the opportunity to research and compare the videos taken by many people who had this surgery and the perspectives of experts in their field on nose surgeries. I am very happy that I made the right decision and had surgery with my instructor Mustafa. I sincerely recommend my instructor Mustafa to everyone who wants to breathe both aesthetically and healthily and has problems.
I had a nose surgery in February. They never failed to show interest from the moment I entered the clinic until the last moment. No one even understands that I had plastic surgery. Mr. Deniz is one of the best in his field. I recommend it to everyone.
I had a nose surgery 3.5 months ago. The surgery and recovery process went great. There are a few things you should pay attention to after the surgery, they don't affect your quality of life too much. The doctor makes you feel very comfortable about that because it's not as complicated as you think. Other than that, I can breathe easily now, which is the most important thing. Also, Assistant Ayşegül Hanım gets back to you directly at any time of the day, no matter how long it has been since the surgery, if you have any questions. I'm very happy that I chose the right doctor.
I met Dr. Deniz upon the recommendation of another patient. He performed my ear surgery approximately 6 months ago with the diagnosis of Cholestatum. His care and follow-up of his patient both before and after the surgery for 6 months is commendable. I would also like to thank Dr. Deniz for his confidence in his patient and his friendly approach. I am in a much better position after the surgery, both in terms of hearing and risk of infection. I would like to thank Prof. Dr. Mustafa Deniz Yılmaz and his team.

Тип анестезии: Общая

Время работы: 2-3 часа

Боль: Умеренная

Продолжительность пребывания в больнице: 1 ночь

Время восстановления: 7 дней
Заполните форму
Позвоните нам.
Сделайте первый шаг прямо сейчас
Для получения подробной информации свяжитесь с нами.
Запланируйте встречу с профессором Мустафой Дениз Йылмазом прямо сейчас. Сделайте первый шаг в процессе лечения и давайте вместе начнем путь к восстановлению вашего здоровья с помощью индивидуальных решений.














